お知らせ
春休みになりましたね。
新しい年度の春のキャンペーン:ルシェロ歯ブラシ等1000円相当をホワイトニングされた方へプレゼントします。
4月末まで
今年は健康的に目の前の防風林をお散歩をしようと思っております。
完全予約制ですのでお電話かライン、予約サイトなどでご予約ください。できればラインで希望日時を連絡してもらえると嬉しいです。
加藤
デンタルエステサロン オレンジについて

家族で通える
丁寧なホワイトニング
皆さんに安心して通ってもらえるように高い品質のホワイトニングメンテナンスサービスを日々模索しながら提供しております。
このホワイトニングの薬は表面の光沢と漂白により光に当たると明るさを実感できます。個人差がかなりありますので1回で実感し終わる方もいれば5回通われる方も。
オレンジは知り合いからも高く評価され、満足し喜ばれる事が目標です。
歯に関するお悩みは些細なことでもお気軽にご相談ください。
Feature
オレンジの特徴

個人に合ったアドバイス
お客様一人ひとりに最適な
アドバイスを丁寧にします。

痛みの少ないホワイトニング
施術中に生じる痛みはなく飲食が可能です。サロンホワイトニング




市場に数多く存在する製品の中から、丁寧に厳選し、最高品質のプロダクトを提供しています。信頼性と満足感をお届けするために、品質とパフォーマンスにこだわります。
Menu
メニュー
※1 ホワイトニングの明るさを極めたい方と色戻りしたくない方向けです。
回数券

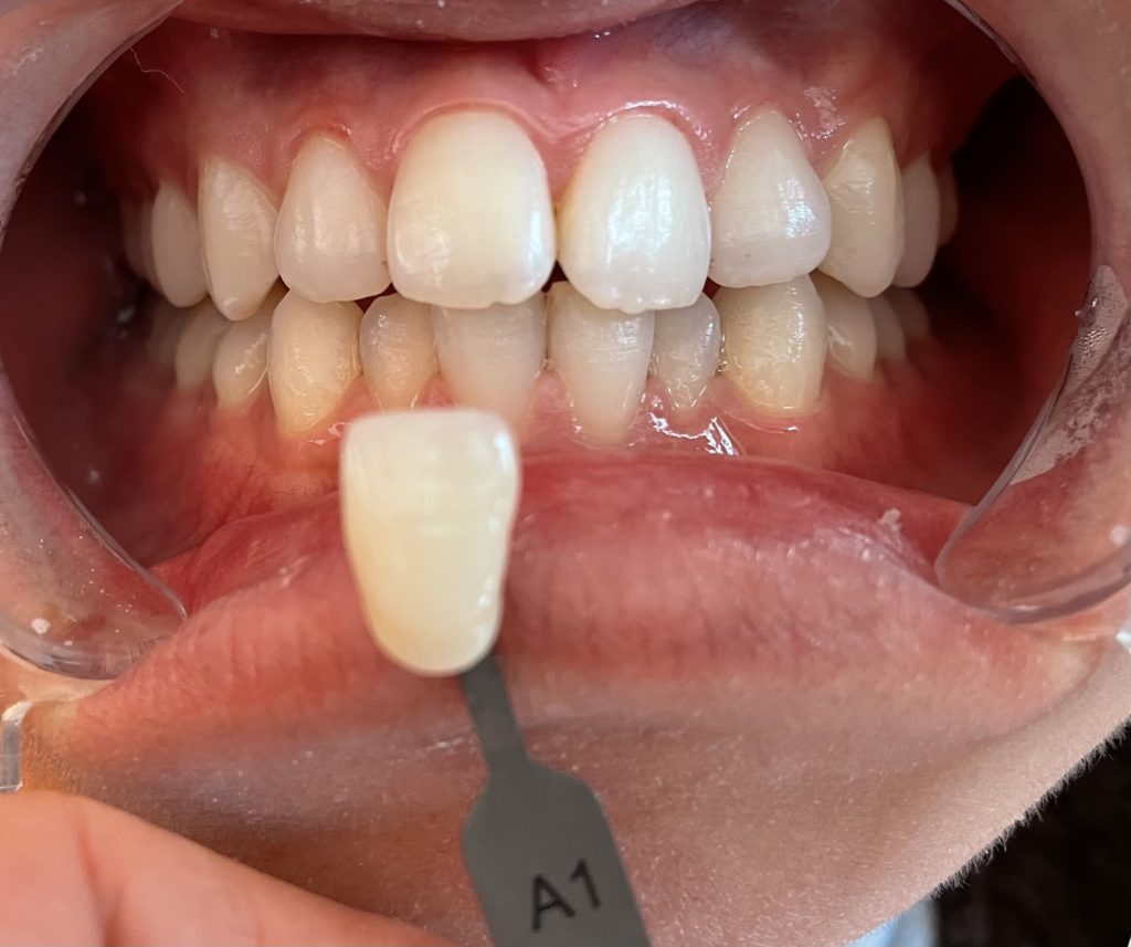
色見本
従来のサロンホワイトニングは数回通われ平均半分くらいまでの明るさまで行く方が多いです。ただ一番右側の色の方は医療ホワイトニング4~5回お勧めします。かなり変化を感じる方が多いです。ご希望の方はご相談承ります。難しい方もいらっしゃいますので要カウンセリングになります。




